从1950年Franklin等报道第1例食管克罗恩病(Crohn disease,CD)到2008年为止,全 仅报道了不足150例。食管CD少见.在成年人CD患者中占0.3%~2.0%,而在儿童CD患者中占6.5%。随着CD在亚洲国家的发病率不断升高.食管CD作为容易误诊的疾病之一,应该引起我们的重视。现结合复旦大学附属中山医院收治的1例食管CD患者,并复习2000-2010年间国内关于食管CD的8例报道,分析该疾病的临床特点、诊断及治疗方法。
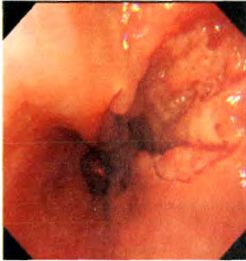
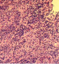
病例资料 患者,男,54岁,因“进食后腹胀伴暖气、返酸1月余,进食哽咽感2周”入院。起病以来,午后发热,在37.5℃~38.5℃之间波动,无腹痛、腹泻、胸闷及胸痛等表现。当地医院就诊,胸部CT平扫未见异常:胃镜提示:食管距中切牙36 cm至贲门齿状线可见一 1.0 cm×2.0 cm溃疡型肿块,表面污秽,呈结节状,活检质脆,易出血,考虑食管癌可能:病理示食管黏膜慢性炎性反应伴少量炎性坏死渗出物。患者至上海某医院就诊,再次行胃镜检查.提示距中切牙35~39 cm,溃疡新生物,病理提示:食管鳞形上皮及炎性肉芽肿组织。近2周来,患者出现进食后哽咽感,以进固体食物时明显。至我院就诊,行胸部增强CT示,食管下段管壁增厚,符合恶性肿瘤改变;胃镜示,食管距中切牙35~39 cm前壁左侧见黏膜隆起,表面高低不平,溃疡形成,质硬,易出血,见图1。超声胃镜示,局部食管壁各层结构消失,考虑食管恶性肿瘤,见图2。但病理示:食管鳞形上皮轻度增生,并见炎性肉芽组织和炎性渗出坏死物,符合炎性溃疡,见图3。遂行肠镜检查.提示回盲部溃疡,肠镜病理示炎性肉芽组织和炎性渗出坏死物,符合炎性溃疡,灶性区似有裂隙性溃疡,符合CD。综合考虑患者病史及各种辅助检查,诊断为:食管CD。
在营养支持治疗的基础上,给予抗TNF抗体治疗,加用硫唑嘌呤,治疗2个月,效果不明显,期间多次红细胞沉降率及C反应蛋白升高,患者仍有午后低热,伴畏寒,偶有右下腹疼痛。胸部CT提示左肺下叶背段炎性反应。但复查胃镜及胃肠道碘水造影,未见穿孔。在既往药物治疗的基础上,加用甲基强的松龙治疗,并给予甲硝唑抗感染,3 d后病情好转后出院,并继续用药。4个月后复查,自诉无明显不适:6个月时复查胃镜提示纵形溃疡变浅,见图4。
文献复习 检索万方和中国生物医学数据库,排除重复文献,2001-2010年,国内共有5篇相关文献报道食管CD,共计8例。结合本例,共9例食管CD患者,其中男性8例,女性1例,中位年龄51(21~65)岁,临床表现、胃镜检查及病理及治疗情况见表1。

图1 胃镜示食管下纵形溃疡

图2 超声内镜示食管全层病变

图3 食管组织病理图片符合炎性溃疡(苏木精.伊红染色.×100)

图4 治疗6个月胃镜示后纵形溃疡变浅变窄
表1 9例食管CD患者的临床病理资料
讨论 食管CD可以表现为胸骨后疼痛、吞咽困难、吞咽疼痛、反酸等症状:如果同时存在胃肠道其他部位,尤其是回盲部的病变时,可出现腹痛、腹泻或肠梗阻等表现,也可伴有发热、营养不良、体质量下降、关节炎、口腔溃疡或结节性红斑等CD常见的肠外表现。有时,食管CD可以隐匿而无症状,在发现其他部位的CD后,再检查胃镜时发现。常见并发症是食管狭窄和梗阻,也可出现食管穿孔、窦道形成甚至是癌变。
食管造影、CT、胃镜、超声胃镜是食管疾病常用的检查手段。食管CD造影可显示溃疡,狭窄,息肉或瘘管形成。胃镜下也表现多样,常见口腔溃疡、食管浅表糜烂、狭窄以及后期的纵形或横形溃疡形成和黏膜下层高度增生造成的鹅卵石样改变.可能同时伴有食管黏膜的充血、炎性反应、组织易碎、结节性增厚和炎性肿块的形成等。该病变80%位于食管下段,15%同时位于中段和下段.3%累及全段食管。超声内镜可见食管病变部位结构、层次破坏。典型的病理组织学特征是非干酪坏死性肉芽肿形成、黏膜下层增厚和淋巴细胞聚集等,但由于CD常累及食管全层,仅仅通过内镜在黏膜取材,获得典型病理的可能性只有7%~9%。本组中仅3例发现典型的非干酪坏死性肉芽肿,故病理往往只能作为排除其他疾病的依据。
食管CD






































