
吴女士是个白领,在苏州高新区一家律师事务所工作,如今28岁的她准备在这个黄金生育年龄生个孩子,防止自己步入大龄孕产妇的行列,然而事实总是不尽人意,吴女士没有采取任何避孕措施,肚子却久久不见动静。
面对这个现状吴女士开始思考是不是自己哪里出了什么问题,她进而想到,从很久以前开始她就有下腹坠胀、白带异常的问题,但由于工作忙碌一直没有去医院看病,前段时间跟老公房事的时候,下身很疼,还有一些血丝,是不是因为自己得了妇科病呢?
究竟出了什么问题?
面对自己的状况,吴女士开始上网搜索下腹坠胀、白带异常属于什么妇科病,结合自己的状况进行一番搜索之后,答案呼之欲出——宫颈糜烂。一看到宫颈糜烂,吴女士想起来了两年前的体检,当时检查出来她有轻微的宫颈糜烂,但是她没有当回事,“结了婚的女人,宫颈出点问题那是再正常不过的了,不痛不痒,干吗要看,花钱买罪受,何必呢?再说现在工作这么忙,哪有时间干这事?”她是这般想着。
结果准备生孩子时,却怎么也怀不上,而且腰也开始酸痛,过夫妻生活时,有时还会有出血现象。所有的搜索结果都指向她的不孕可能是宫颈糜烂惹的祸。这下势必要进行治疗,吴女士立马搜索哪家医院治疗宫颈糜烂,也就在这个时候,吴女士进入了苏州医院官方网站的妇科页面。
通过反复浏览网站,吴女士了解到了治疗宫颈糜烂比较好的技艺是 第三代leep刀技艺,可以 治了宫颈糜烂,留下清爽宫颈,吴女士就自己的问 题,跟在线医生咨询了很久,较后约定周末来医院就诊,医生告诉她网络预约可以享受网络就诊的优惠,吴女士当即表示周末不见不散。

尽管已经做了充分的思想准备,等检查报告出来的时候吴女士还是忍不住 了一下,自己居然是重度宫颈糜烂,而吴女士的不怀孕很可能是因为宫颈糜烂的缘故,为了宝宝,吴女士很快接受了治疗。
据了解 第三代leep刀探头如发丝可实现真正的无创,并且可以有效治疗宫颈糜烂,**,使糜烂的宫颈恢复如初。术后谨遵医嘱很快的吴女士便恢复了,等到吴女士第二次去医院复查的时候,医生告诉她,她已经可以受孕了,现在吴女士又开始了他的好孕计划。
第三代leep刀,为女性保宫护航
第三代leep刀是目前 上治疗包括宫颈糜烂在内的宫颈疾病的较先进治法,它采用各种形态的高能电极直达病变部位,在高温电能的作用下,能够迅 速、有效的切除病变组织,切口自动凝固、不出血、手术时间短、创伤小、好的快了,与传统治法相比,无需大剂量输入抗生素、无需腰麻、有效节省治疗费用,是治 疗宫颈疾病的较佳选择。

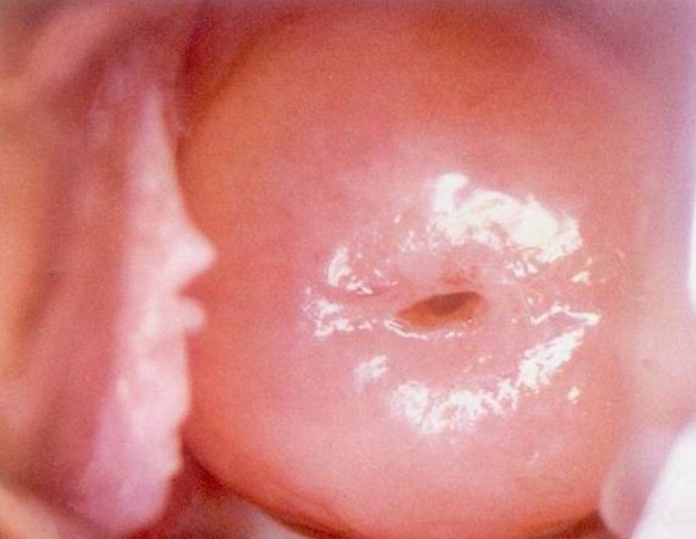
恢复光滑的宫颈
第三代leep刀技艺原理
LEEP刀,又称超高频电波刀,采用经由电极 产生3.8兆HZ的定向高频电波技艺,在接触身体组织后,由组织本身产生阻抗,使目标组织内的水分子 在射频电波作用下瞬间振荡活化,引起细胞破裂蒸发,并在其低温(40℃-70℃)状态下实现切割,止血、电灼、消融、电凝等功能,导致蛋白变性及病变组织 细胞不可逆性坏死,同时起到止血和促进组织重建、改善微循环的目的,以此完成妇科各种病变的处理,达到了非常精细的治治法果,实现了真正的小创伤。




































